亲爱的读者,你是否有过这样的经历:看着一部精彩的电影或者一段搞笑的视频,突然想把它保存下来,变成一张张美丽的图片?今天,就让我带...
亲爱的读者们,你是否在忙碌的生活中渴望一丝轻松和欢笑?那就跟着我一起走进国外搞笑视频的世界吧!在这个充满欢乐的领域里,你会发现无...
你有没有想过,在这个信息爆炸的时代,有些话题虽然敏感,但却是人们好奇心的源泉?今天,我就要来聊聊一个很多人可能都好奇过,但又不敢...
亲爱的读者,今天我要跟你聊聊一个让人心头一紧的话题。你有没有想过,在互联网这个浩瀚的海洋里,有些东西就像暗流涌动,让人防不胜防?...
你有没有听说过那个神奇的777免费视频网站?最近,我在网上闲逛的时候,无意间发现了这个宝藏,简直让我爱不释手!今天,就让我带你一...
你有没有想过,一部电影、一个短视频或者一段直播,里面的音乐是不是也能被你轻松提取出来呢?没错,今天就要来教你怎么做到这一点!无论...
你有没有听说过夫妻交换视频这个话题?听起来是不是有点刺激,有点神秘呢?别急,今天我就要带你揭开这个话题的神秘面纱,从多个角度来聊...
亲爱的读者,你是否曾在某个闲暇的午后,好奇地搜索过“涩涩在线视频”这样的关键词?或许,你只是出于好奇,或许,你真的需要一些放松心...
你有没有想过,在互联网的海洋中,有些内容就像隐藏在珊瑚礁后的彩色鱼群,既美丽又神秘?今天,我要带你探索一个充满激情与活力的领域—...
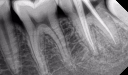
最近是不是牙齿疼得你坐立不安,连笑容都变得苦涩了呢?别担心,今天就来给你揭秘一下那个听起来有点吓人的根管治疗,让你对这个过程有个...